Skip Menu
Continue
Main Line: (860) 633-1635
New Patients Line: (860) 854-8842
49 Sycamore Street
Glastonbury, CT 06033
Logo
  • Home
  • About Us
    • Our Office
    • Financing Options
    • New Patients
    • Our Philosophy
    • Dental Videos
    • Privacy Policy
  • Our Team
    • John N. DiStefano, Jr., DMD
    • Nicholas J. DiStefano, DMD
    • Sarah F. Sinisgalli, DDS
    • Mike Fazzone, DDS
    • Our Team
  • Services
      • Preventative Dentistry
      • Pediatric Dentistry
      • Cosmetic Dentistry
      • Restorative Dentistry
      • Periodontal Treatment
      • Oral Surgery
      • Emergency Treatment
      • Root Canals
      • Technology
  • Patient Reviews
  • Smile Gallery
  • Dental Health
  • Contact
    • Contact Us
    • Request Appointment

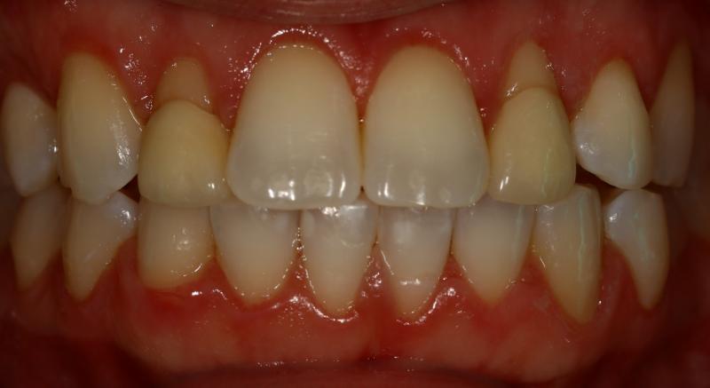
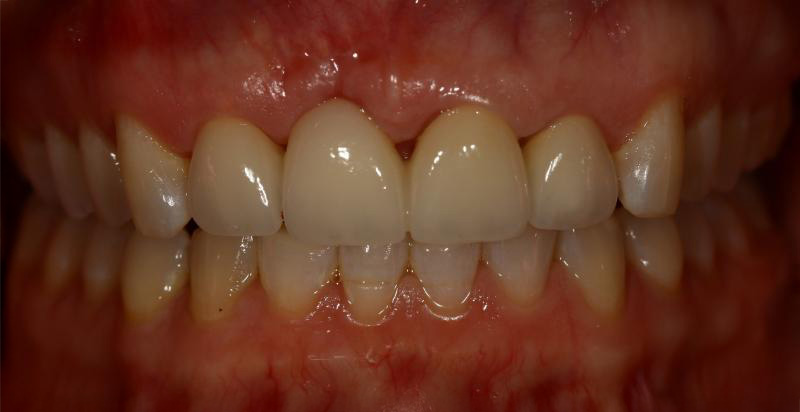
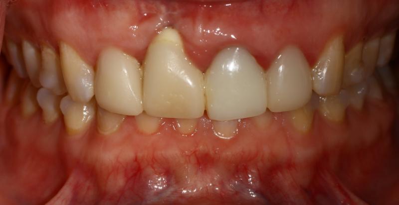
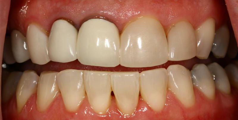
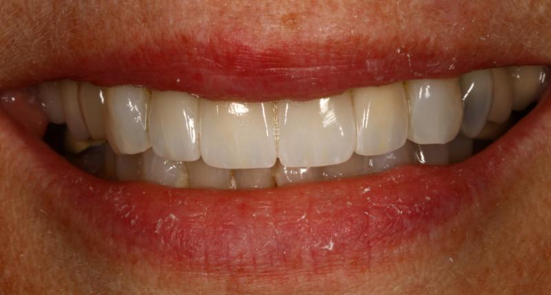
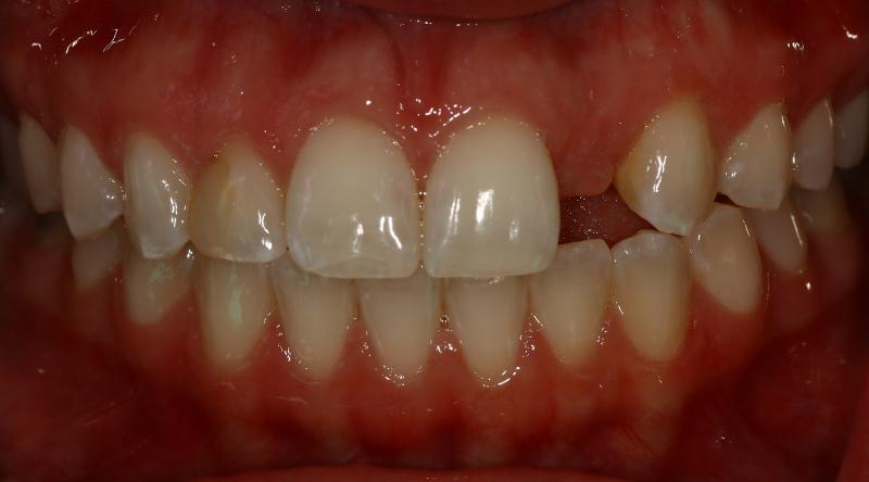
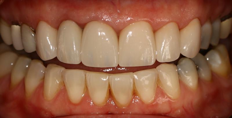
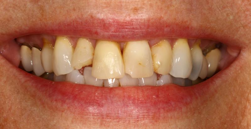
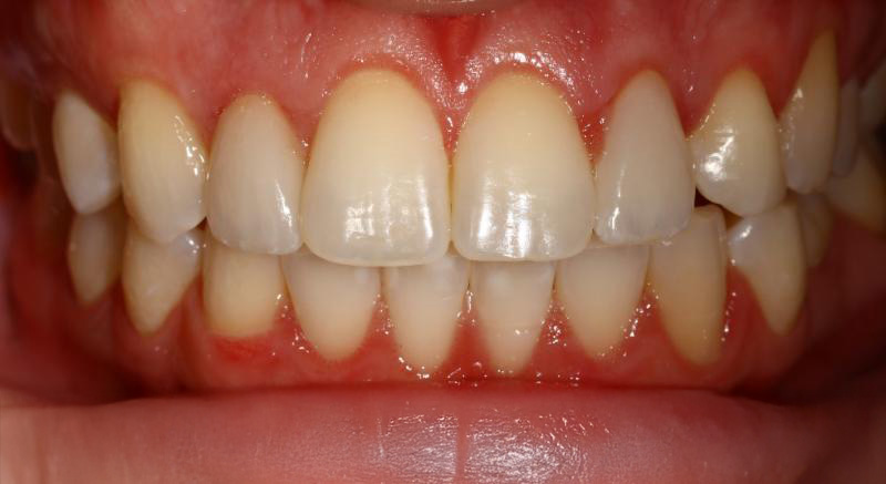
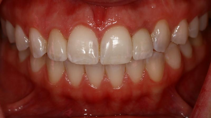
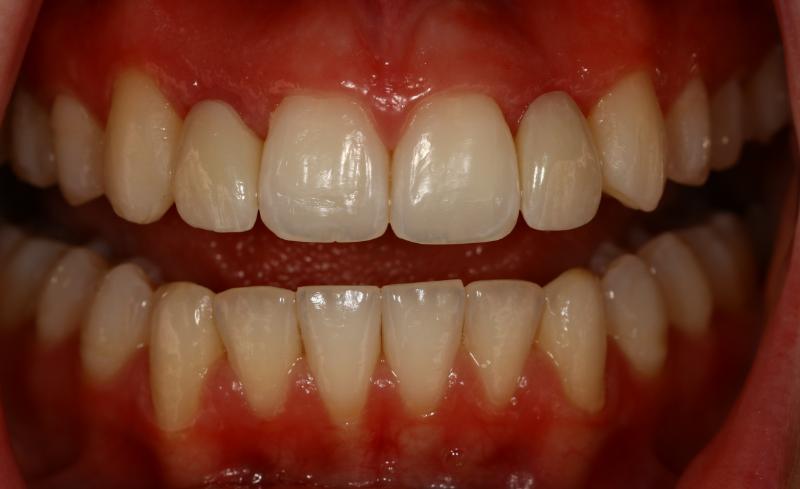
Smile Gallery

Additional Information

Our Location

49 Sycamore Street
Glastonbury, CT 06033
Main Line: (860) 633-1635
New Patients Line: (860) 854-8842

Follow Us